Logotipo

Descrição gerada automaticamente

Desenho de personagem de desenhos animados com texto preto sobre fundo branco

Descrição gerada automaticamente com confiança média

 

Universidade Federal de Santa Maria

Ci. e Nat., Santa Maria, v. 44, e19, 2022

DOI: 10.5902/2179460X67963

ISSN 2179-460X

Submitted: 04/10/2021 • Approved: 05/04/2022 • Published: 23/05/2022

1 INTRODUCTION.. 3

2 MATERIAL AND METHODS. 6

3 RESULTS. 10

4 DISCUSSION.. 20

5 CONCLUSION.. 28

ACKNOWLEDGMENTS. 29

REFERENCES. 29

 

Environment

Titanium dioxide nanoparticles promote histopathological and genotoxic effects in Danio rerio after acute and chronic exposures

Nanopartículas de dióxido de titânio promovem efeitos histopatológicos e genotóxicos em Danio rerio após exposição aguda e crônica

Juliana Machado Kayser IÍcone

Descrição gerada automaticamente

Andriéli Carolina Schuster IÍcone

Descrição gerada automaticamente

Gabriela Zimmermann Prado Rodrigues IÍcone

Descrição gerada automaticamente

Fernando Dal Pont Morisso IÍcone

Descrição gerada automaticamente

Günther Gehlen IÍcone

Descrição gerada automaticamente  

I Universidade Feevale, Novo Hamburgo, RS, Brasil

ABSTRACT

Titanium dioxide nanoparticles (TiO2-NPs) are among the most used nanomaterials worldwide, but studies evaluating its genotoxicity and histopathological effects are scarce, dealing with short exposure times and low concentrations for human use. The aim was to evaluate TiO2-NPs genotoxicity and histological alterations in the intestine and liver of zebrafish after exposure to human consumption compatible concentrations. Fishes were acutely (96 hours) and chronically (30 days) exposed to 5.0, 20 and 40 mg L-1 of TiO2-NPs and later euthanized for organ and blood analysis through histological procedures and the micronucleus test, respectively. An increase in the thickness of intestinal villi was observed after acute and chronic exposure in the higher concentrations. The liver showed an increase in vacuolated hepatocytes after both exposures, besides an increase in hepatocytes with peripheral nucleus. Genotoxicity was only observed after chronic exposure, demonstrated by the increase in micronucleus and cell buddings. These findings indicate that TiO2-NPs cause histopathological damage even in acute exposures, as the intestine serves as a barrier for NPs and the liver is an organ that accumulates Ti. Genotoxicity was possibly mediated by reactive oxygen species through chronic inflammation, leading to tissue damage and carcinogenesis in longer exposures that represents human exposure time.

Keywords: Intestine; Liver; Micronucleus test; Nanotoxicology; Zebrafish

RESUMO

Nanopartículas de dióxido de titânio (Nano-TiO2) estão entre os nanomateriais mais usados em todo o mundo, mas os estudos avaliando sua genotoxicidade e efeitos histopatológicos são escassos, tratando-se de curtos tempos de exposição e baixas concentrações para uso humano. O objetivo foi avaliar a genotoxicidade de Nano-TiO2 e as alterações histológicas no intestino e no fígado de peixes-zebra após exposição a concentrações compatíveis com o consumo humano. Os peixes foram expostos agudamente (96 horas) e cronicamente (30 dias) a 5, 20 e 40 mg L-1 de Nano-TiO2 e posteriormente eutanasiados para análise de órgãos e sangue por meio de procedimentos histológicos e teste de micronúcleo, respectivamente. Um aumento na espessura das vilosidades intestinais foi observado após exposição aguda e crônica nas concentrações mais altas. O fígado apresentou aumento de hepatócitos vacuolizados após ambas as exposições, além de aumento de hepatócitos com núcleo periférico. A genotoxicidade só foi observada após exposição crônica, demonstrada pelo aumento de micronúcleos e brotamentos celulares. Esses achados indicam que as Nano-TiO2 causam danos histopatológicos mesmo em exposições agudas, pois o intestino serve como uma barreira para as NPs e o fígado é um órgão que acumula Ti. A genotoxicidade foi possivelmente mediada por espécies reativas de oxigênio por meio de inflamação crônica, levando a danos nos tecidos e carcinogênese em exposições mais longas que representam o tempo de exposição humana.

Palavras-chave: Intestino; Fígado; Teste de micronúcleo; Nanotoxicologia; Peixe-zebra

1 INTRODUCTION

Nanotechnology has been widely explored in different spheres of human activities and it is already incorporated in commercial products and industrial processes (ASZTEMBORSKA et al., 2018; THOMAS et al., 2011). Nanomanufacturing provides the improvement and development of new food, drugs, electronics, cosmetics, agricultural and medical-hospital inputs with unique physicochemical characteristics (CHEN; SCHLUESENER, 2008; TANG; ZHANG; ZHU, 2019). However, the increase in nanomaterial production began to be questioned because of the possible effects of human exposure and environmental risk (HAYES; SAHU, 2020).

Titanium dioxide (TiO2) is a mineral that has high thermal stability, resistance to color change, and anti-corrosion and photocatalytic characteristics (KOTIL; AKBULUT; YÖN, 2017). These properties turn TiO2 useful for: toothbrushes, cosmetics, paints, glasses, paper, plastics, sunscreen, food, and pharmaceuticals (DUDEFOI et al., 2017; KOTIL; AKBULUT; YÖN, 2017). To improve the effectiveness of these products, TiO2 has been increasingly produced in nanometric dimensions, representing the most produced nanomaterial worldwide (PICCINNO et al., 2012; ROBICHAUD et al., 2009). In the manufacturing process, titanium dioxide nanoparticles (TiO2-NPs) can be presented as agglomerates or aggregates greater than 100 nm, resulting changes in properties, such as transport and reactivity (BOVERHOF et al., 2015; MAURICE; HOCHELLA, 2008). In fact, it is the increase in reactivity that can contribute to the expansion of toxicity, which is why the use of TiO2-NPs is still controversial (KHAN et al., 2019).

As a food additive, TiO2 (E171) use is regulated in Brazil and other countries (ANVISA, 2018; EFSA, 2016; EP, 2015; FDA, 2020) in two chemical forms, anatase and rutile, that are applied in a broad range of foods, such as cheese, sauces, skim milk, ice cream, sweets, confectionery, and chewing gum (EFSA, 2016; WEIR et al., 2012; YIN et al., 2017). In addition, human oral exposure to TiO2 can also unintentionally occur through contaminated water (BOUWMEESTER; ZANDE; JEPSON, 2017). TiO2-NPs ingestion is related to elevated intestinal absorption and bioavailability that affects the distribution process and tissue retention (AMMENDOLIA et al., 2017). In order to clarify these mechanisms, studies have been performed to evaluate TiO2-NPs toxicity in different animal models (CHEN et al., 2019; ZHU et al., 2010).

The aquatic biota is exposed to several contaminants in water (DALZOCHIO et al., 2018). Considered excellent bioindicators, fishes are also susceptible to agents located in food and sediment like TiO2-NPs, that has water its final destiny and can easily move from the water column to the aquatic food chain (BOXALL; TIEDE; CHAUDHRY, 2007; ZHU et al., 2010). When in contact with nanoparticles, these animals tend to absorb them through the gills, in the breathing process, and through the intestine, from the diet (CARMO et al., 2018). Previous studies have shown that acute exposure to TiO2-NPs is sufficient for titanium (Ti) bioaccumulation in Prochilodus lineatus, while chronic exposures can cause oxidative damage in Danio rerio (CARMO et al., 2019; TANG; ZHANG; ZHU, 2019). The latter species, popularly known as zebrafish, is widely used in biomedical and toxicological research, and also has several orthologous genes to humans and presents similar cellular types to mammals in the cardiovascular, nervous, and digestive systems (HSU et al., 2007; SIPES; PADILLA; KNUDSEN, 2011). However, studies evaluating TiO2-NPs genotoxicity in Danio rerio are extremely scarce, dealing with relatively low concentrations found in effluents, in the range of µg L-1, and acute exposure times that make it difficult to observe long-term effects (BOBORI et al., 2020; ROCCO et al., 2015). There is also limited information about histopathological alterations caused by TiO2-NPs exposure in Danio rerio, although TiO2 has been already nominated as a possible carcinogenic to humans (B2) based on animal studies (IARC, 2010).

Therefore, the aim of this study was to evaluate TiO2-NPs genotoxicity and histological alterations in the intestine and liver in Danio rerio after acute and chronic exposure to human consumption compatible concentrations.

2 Material and Methods

2.1 Preparation and characterization of TiO2-NPs

TiO2 in the anatase (Brenntag Química Brasil Ltda., purity ≥ 99%) and rutile (GuoBen [Shanghai] Enterprise Development Co. Ltd., purity ≥ 92%) phases were obtained from local industries. A mixture of 75% anatase and 25% rutile was prepared for nanoparticle characterization and use in the experiments, according to previous studies with fish (BAR-ILAN et al., 2012; FEDERICI; SHAW; HANDY, 2007; ROCCO et al., 2015). TiO2-NPs characterization was performed by two different techniques: 1) scanning electron microscopy (SEM) coupled to X-ray energy dispersive spectrometry (EDS) and 2) dynamic light scattering (DLS).

In order to assess the morphology and size of the primary particles, micrographs of anatase, rutile and mixture were taken at a x 40,000 magnification in a scanning electron microscope (SEM; Jeol JAM-6610LV) operating at 29 kV. The elemental chemical composition was determined at a x 10,000 magnification (29 kV) by EDS using a light elements detector (Thermo Fisher Scientific UltraDry).

DLS technique was applied to determine the particle size distribution and the polydispersity index of the nanomaterials. Three suspensions (anatase, rutile and mixture) were prepared in N,N-dimethylformamide (2 mg mL-1; Êxodo Científica®), sonicated for 10 min (Ultronique, disruptor 500W model) and centrifuged for 10 min at 3000 rpm. The measurements were performed in triplicate (5 minutes each) in the NanoBrook 90 PlusPals® (Brookhaven Instruments) at 25 ºC and a 90° scattering angle. The software used for analysis and visualization of DLS data was the Particle Solutions® v. 3.5 (Brookhaven Instruments). Particle diameter (nm) and polydispersity index (PdI) were expressed as mean ± standard error.

For the experiments, a stock solution of the mixture (75% anatase and 25% rutile) was prepared in reconstituted water (ISO, 1996) and kept refrigerated. The same stock solution was used to obtain the concentrations (5.0, 20 and 40 mg L-1) during the entire experimental period. The concentrations were defined based on the estimated daily exposure to TiO2 as a food additive in adults (0.6 to 6.8 mg kg-1 per day), considering the hypothesis that an adult who has a body mass of 70 kg and is minimally exposed has a daily consumption of 42 mg of TiO2 (EFSA, 2016).

2.2 Experimental procedures

Procedures described below were previously approved by the Institutional Committee for Animal Care and Use from Feevale University (03.19.079), according to the Law 11794/2008. Adult wild-type zebrafish (Danio rerio; 6-8 months old, males and females) were obtained from a local supplier. In the laboratory, animals were acclimatized (30 days) in reconstituted water in the same environmental conditions of experimentation: water temperature of 26 ± 2 ºC, pH at 7.0 – 8.0, water hardness between 75 and 100 mg L-1 CaCo3, and a maximum density of two animals per liter of water (ABNT, 2016). The light/dark cycle was 14:10 h (lights on at 7:00 a.m.), the water of the aquariums was in constant aeration (semi-static system), and the animals were fed thrice per day: twice with commercial flake food (Tetra®) and once with live brine shrimp (Artemia sp.).  

This study consisted of two exposure periods, acute (96 hours) and chronic (30 days), with 48 animals each. The animals of both periods (12 animals per group) were exposed to 5.0, 20 and 40 mg L-1 of TiO2-NPs, and the control group was kept in reconstituted water. In both experiments, 100% of the water was renewed every 48 hours due to the tendency of particle aggregation and sedimentation. Fish survival was assessed during all experiments.

2.3 Turbidity analysis

Three water samples (50 mL), one of each concentration, were collected from the middle region of the aquariums in the acute and chronic exposure. The analysis was performed in triplicate in a Hach® 2100N turbidimeter and the equipment was properly calibrated with turbidity standards (StablCal®). The samples were homogenized by agitation and the values were obtained in NTU (Nephelometric Turbidity Unit) after 60 seconds of measurement. Data were expressed as mean ± standard error. None of the samples were diluted or modified before turbidity measurements to represent the real ambient condition. The analysis was performed every 48 hours during the acute experiment and weekly in the chronic experiment. The samples were always collected from the aquariums before water renovation.

2.4 Histological procedures

Animals were anesthetized and euthanized with tricaine methanesulfonate (MS-222; Sigma-Aldrich®, 120 mg L-1). The intestine and liver from half of the animals of each group (n = 6) were removed and fixed in 10% formaldehyde (LabSynth®). Subsequently, the samples were dehydrated in a gradual series of ethanol, embedded in paraffin, sectioned (5 µm) (Leica® RM2125RT) and stained with hematoxylin and eosin (H&E) for liver analysis or with Alcian blue and hematoxylin for intestine analysis. Both were performed through coded photomicrographs captured with an optical microscope (Nikon Eclipse E200) coupled to a camera (Precision) at a x 400 magnification.

For the liver analysis, we adapted the classification adopted by Rodrigues et al. (2020), accounting the number of normal hepatocytes, cells with vacuolization, and hepatocytes with a peripheral nucleus in 5 fields per animal. Regarding the intestine analysis, 5 fields per animal were analyzed by evaluating the percentage of altered villi in each field (2 villi per field). The increase in the thickness of intestinal villi, leukocyte infiltration, and presence/absence of eosinophils were registered according to the classification used by Rodrigues et al. (2018). The percentage of cellular alterations was calculated, and the number of intestinal goblet cells was also counted. All histological data were expressed as mean ± standard error.

2.5 Micronucleus test and nuclear abnormalities

Blood smears, obtained through the caudal section (6 animals per group), were fixed in methanol (10 minutes) and stained with Giemsa 5% solution (New Prov) for 10 minutes. The analysis was performed using light microscopy (Nikon Eclipse E100) at a x 1000 magnification. A total of 3000 erythrocytes were counted per fish, recording the number of cells with micronuclei and nuclear abnormalities (cellular invagination, binucleated cells, and cell budding) (FENECH et al., 2003; RODRIGUES et al., 2020). Data were expressed as mean ± standard deviation for micronuclei and mean ± standard error for nuclear abnormalities.

2.6 Statistical analysis

The data normality was assessed by the Kolmogorov-Smirnov test and p < 0.05 was considered significant. For micronucleus test, the Kruskal-Wallis test was used, followed by the Dunn post-test. For nuclear abnormalities and histological analyses, the one-way Anova test was applied, followed by the Tukey post-hoc. For genotoxicity test, the comparison between acute and chronic exposure was performed using the Mann-Whitney test, while the Student’s t-test was applied for histological analyses. The software used for all statistics was GraphPad Prism v. 6.0.

3 Results

3.1 Characterization

The SEM images (Figure 1) show the presence of a similar spherical shape in both phases, and agglomerated titanium dioxide nanoparticles within a size range of 100 and 400 nm. In comparison to rutile nanoparticles, anatase seems to have smaller particles than rutile.

Figure 1 – Scanning electron microscopy images of titanium dioxide nanoparticles

Tela de computador com jogo

Descrição gerada automaticamente com confiança média

Source: Authors' private collection (2021)

Caption: (A) Anatase TiO2-NPs (B) Rutile TiO2-NPs (C) Mixture TiO2-NPs (75/25 anatase/rutile). The bars (|---|) indicate an estimated diameter (µm) of the particles.

 

The diameter and the polydispersity index of the prepared suspensions are presented in Table 1. As seen in SEM, TiO2 has a huge tendency to aggregate and agglomerate, but the N,N-dimethylformamide was capable of stabilizing nanoparticles in the suspension. The diameters measured by DLS confirm that rutile has bigger particles than anatase, although the mixture diameter is not much affected. In addition, the polydispersity index shows that all the samples were monodispersed. The EDS analysis (Figure 2) demonstrated that the agglomerates seen in SEM images were made up of titanium and oxygen.

Table 1 – Particle diameter and polydispersity index of TiO2-NPs in N, N-dimethylformamide (2 mg mL-1) obtained by the DLS analysis

Parameter

TiO2-NPs phase

Mixture

 75/25 anatase/rutile

Anatase

Rutile

Particle diameter

(nm)

190.32 ± 1.01

248.36 ± 0.46

189.64 ± 2.19

Polydispersity index

(PdI)

0.124 ± 0.003

0.169 ± 0.002

0.154 ± 0.019

Source: Authors’ private collection (2021)

Caption: Data are expressed as mean ± standard error. TiO2-NPs: titanium dioxide nanoparticles.

Figure 2 – EDS spectrum of titanium dioxide nanoparticles

Diagrama

Descrição gerada automaticamente

Source: Authors' private collection (2021)

Caption: A) Anatase TiO2-NPs (B) Rutile TiO2-NPs (C) Mixture TiO2-NPs (75/25 anatase/rutile)

3.2 Turbidity of aquarium water samples

Turbidity data of aquarium water samples collected during the acute and chronic experiments are presented in Table 2. In both exposure times, the turbidity was directly proportional to TiO2-NPs concentrations.

Table 2 – Turbidity of the aquarium water samples during the acute (96 hours) and chronic (30 days) experiments of the three concentrations of TiO2-NPs

TiO2-NPs

 concentration

Turbidity (NTU)

Acute exposure

Chronic exposure

5.0 mg L-1

22.86 ± 2.36

57.64 ± 2.09

20 mg L-1

49.56 ± 9.52

202.66 ± 4.61

40 mg L-1

82.94 ± 21.35

376.40 ± 16.37

Source: Authors’ private collection (2021)                                                         

Caption: Data are expressed as mean ± standard error. NTU: Nephelometric Turbidity Units; TiO2-NPs: titanium dioxide nanoparticles

3.3 Intestine histological analysis

It was observed a 100% survival rate of fish acutely and chronically exposed to 5.0 mg L-1, 20 mg L-1 and 40 mg L-1 of TiO2-NPs.

The histopathological alterations observed in the intestines (Figure 3) from the acute and chronic experiments were increase in the thickness of intestinal villi and leukocyte infiltrate, besides the goblet cells quantification.

Figure 3 – Intestinal villi of Danio rerio exposed to different concentrations of TiO2-NPs

Uma imagem contendo foto, muitos, geladeira, diferente

Descrição gerada automaticamente

Source: Authors' private collection (2021)

Caption: A to D: Acute exposure. A) Control group; B) 5.0 mg L-1 TiO2-NPs; C) 20 mg L-1 TiO2-NPs; D) 40 mg L-1 TiO2-NPs. E to H: Chronic exposure. E) Control group; F) 5.0 mg L-1 TiO2-NPs; G) 20 mg L-1 TiO2-NPs; H) 40 mg L-1 TiO2-NPs. Black arrows indicate goblet cells stained with Alcian blue, arrow heads point leukocyte infiltrate, and the bars (|---|) indicate an increase of intestinal villi.

Regarding to the thickness of intestinal villi, it was observed a significant increase in animals from the higher concentrations 20 mg L-1 (p = 0.033) and 40 mg L-1 (p = 0.001) of TiO2-NPs compared to the control group of the acute exposure (Figure 4). In the chronic exposure, the same concentrations, 20 mg L-1 (p = 0.0001) and 40 mg L-1 (p = 0.0006) of TiO2-NPs, differed from the control group. However, there were no significant differences comparing the acute and chronic exposure of animals exposed to 5.0 mg L-1 (p = 0.9985), 20 mg L-1 (p = 0.9939) and 40 mg L-1 (p = 0.9784) of TiO2-NPs. Regarding the leukocyte infiltrate in the intestinal epithelium, there were no statistical differences among the groups in the acute (p = 0.584) and chronic (p = 0.83) exposures. There were also no significant differences among concentrations, 5.0 mg L-1 (p = 0.16), 20 mg L-1 (p = 0.8649) and 40 mg L-1 (p = > 0.9999) of TiO2-NPs comparing the acute and chronic exposure. For the goblet cells, there were no significant alterations neither in acute exposure (p = 0.619) nor in the chronic exposure (p = 0.644). In comparison with the acute exposure, there were no statistical differences in animals exposed to 5.0 mg L-1 (p = 0.955), 20 mg L-1 (p = 0.6852) and 40 mg L-1 (p = 0.2282) of TiO2-NPs.

Figure 4 – Percentage of increased thickness of intestinal villi, leukocyte infiltrate and the number of goblet cells in Danio rerio acutely and chronically exposed to TiO2-NPs

Gráfico, Gráfico de barras

Descrição gerada automaticamente

Source: Authors' private collection (2021)

Caption: Data are expressed as mean ± standard error. Asterisks represent statistical differences compared to the control group (* = p < 0.05; ** = p < 0.01; *** = p < 0.001) and the pound indicates significant difference between treatments (p > 0.05; one-way ANOVA test followed by Tukey post-hoc for different treatments; Student’s t-test for different exposure periods).

3.4 Liver histological analysis

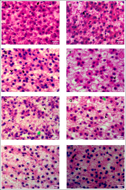
The predominant histological findings observed in the liver (Figure 5) in the acute and chronic exposures were normal hepatocyte reduction, vacuolization, and peripheral nucleus.

There was a significant reduction in the normal hepatocytes percentage in animals exposed to 40 mg L-1 of TiO2-NPs in the acute exposure compared to the control group (p = 0.016), as well as in the group chronically exposed to 5.0 mg L-1 of TiO2-NPs (p = 0.025) (Figure 6). However, there were no differences comparing the acute and chronic exposure of the groups exposed to 5.0 mg L-1 (p = 0.985), 20 mg L-1 (p = 0.899), and 40 mg L-1 (p = 0.887) of TiO2-NPs. About the hepatocyte vacuolization percentage, there was an increase in the group acutely exposed to 40 mg L-1 of TiO2-NPs in relation to the control group (p = 0.013). Regarding the chronic exposure, statistical difference was only observed in animals exposed to 5.0 mg L-1 of TiO2-NPs compared to the control group (p = 0.032). No significant differences were observed comparing the acute and chronic exposure in all concentrations: 5.0 mg L-1 (p = 0.959), 20 mg L-1 (p = 0.876) and 40 mg L-1 (p = 0.235) of TiO2-NPs. For the peripheral nucleus percentage, a significant increase was observed in animals after acute exposure to 20 mg L-1 of TiO2-NPs compared to the control group (p < 0.0001), whereas no differences among groups were observed after chronic exposure (p = 0.11). There was a significant increase in the peripheral nucleus percentage comparing acute and chronic exposure of animals acutely exposed to 20 mg L-1 of TiO2-NPs (p < 0.0001), but no differences were observed in the groups exposed to 5.0 mg L-1 (p = 0.311) or 40 mg L-1 (p = 0.999).

Figure 5 – Hepatocytes of Danio rerio exposed to different concentrations of TiO2-NPs

Uma imagem contendo verde, janela, rosa, azulejado

Descrição gerada automaticamente

Source: Authors' private collection (2021)

Caption: A to D: Acute exposure. A) Control group; B) 5.0 mg L-1 TiO2-NPs; C) 20 mg L-1 TiO2-NPs; D) 40 mg L-1 TiO2-NPs. E to H: Chronic exposure. E) Control group; F) 5.0 mg L-1 TiO2-NPs; G) 20 mg L-1 TiO2-NPs; H) 40 mg L-1 TiO2-NPs. Black arrows indicate normal hepatocytes, arrow head means vacuolization, and green arrows indicate cells with peripheral nucleus.

Figure 6 – Percentage of normal hepatocytes, vacuolization, and cells with peripheral nucleus in Danio rerio acutely and chronically exposed to TiO2-NPs

 

Gráfico, Gráfico de barras

Descrição gerada automaticamente

Source: Authors' private collection (2021)

Caption: Data are expressed as mean ± standard error. Asterisks represent statistical differences compared to the control group (* = p < 0.05; ** = p < 0.01; *** = p < 0.001) and the pound indicates significant difference between treatments or exposure periods (p > 0.05; one-way ANOVA test followed by Tukey post-hoc for different treatments; Student’s t-test for different exposure periods).

3.5 Genotoxicity

Regarding the micronucleus test (Table 3), there was no significant difference among groups (p = 0.967) in the acute exposure. However, the animals exposed to 20 mg L-1 of TiO2-NPs differed significantly from the control group (p = 0.046) in the chronic exposure. In the other groups, no significant differences were observed for the micronucleus counting (p > 0.05). There were also no significant differences between both exposures (acute and chronic) for the groups exposed to 5.0 mg L-1 (p = 0.242), 20 mg L-1 (p = 0.145) and 40 mg L-1 (p = 0.242) of TiO2-NPs.


Table 3 – Micronucleus in erythrocytes of Danio rerio after acute and chronic exposure to TiO2-NPs

Control group

5.0 mg L-1

20 mg L-1

40 mg L-1

p

Acute exposure

0.33 ± 0.51 a

0.50 ± 0.83 a

0.60 ± 1.34 a

0.50 ± 1.22 a

0.967

Chronic exposure

0.00 a

0.83 ± 0.40 a

1.00 ± 0.63 b

1.00 ± 0.89 a

0.046

p (Mann-Whitney)

-

0.242

0.145

0.242

-

Source: Authors' private collection (2021)

Caption: Data are expressed as mean ± standard deviation and different letters represent statistical difference among treatments (p < 0.05, Kuskal-Wallis test followed by Dunn’s test for different treatments; Mann-Whitney test for different exposure periods).

In relation to nuclear abnormalities (Figure 7), no significant differences were observed among groups in the acute experiment for all evaluated abnormalities: cellular invagination (p = 0.75), binucleated cell (p = 0.39), and cell budding (p = 0.28). In the chronic exposure, there were also no statistical differences among groups for invagination (p = 0.673) and binucleation (p = 0.704), but it was observed a significant increase of cell budding in erythrocytes of zebrafish exposed to 20 mg L-1 of TiO2-NPs compared to the control group (p = 0.0072). In contrast, animals exposed to 40 mg L-1 of TiO2-NPs showed a significant reduction in the number of buddings compared to the group exposed to 20 mg L-1 of TiO2-NPs (p = 0.022). There were no statistical differences for invagination comparing the acute and chronic exposure of the groups exposed to 5.0 mg L-1 (p = 0.969), 20 mg L-1 (p = 0.464) and 40 mg L-1 (p = 0.979) of TiO2-NPs. There were also no significant differences for binucleation in 5.0 mg L-1 (p = 0.978), 20 mg L-1 (p = 0.352) and 40 mg L-1 (p = 0.991) groups comparing acute and chronic exposure. Nevertheless, a significant increase of cell budding was observed in the group chronically exposed to 20 mg L-1 of TiO2-NPs in relation to the acute exposure (p = 0.003) of this same concentration. The groups exposed to 5.0 mg L-1 (p = 0.955) and 40 mg L-1 (p = 0.99) of TiO2-NPs did not show significant difference for this abnormality.

Figure 7 - Nuclear abnormalities in erythrocytes of Danio rerio after acute and chronic exposure to TiO2-NPs

Source: Authors' private collection (2021)

Caption: A) Celullar invagination; (B) Binucleated cell; (C) Cell budding. Data are expressed as mean ± standard error. Asterisks represent statistical differences compared to the control group and the pound means statistical differences between treatments or exposure periods (p < 0.05, one-way ANOVA test followed by Tukey post-hoc for different treatments; Mann-Whitney test for different exposure periods).

4 Discussion

Titanium dioxide nanoparticles are being rapidly introduced into the food industry in the anatase and/or rutile phases (YANG et al., 2014). The anatase crystalline form, considered the most used in food, is more reactive and has greater photocatalytic activity, which generally makes it more cytotoxic than rutile (ROMPELBERG et al., 2016; SAYES et al., 2006). In some cases, the anatase/rutile mixture, that is used as food additive, may exhibit even greater toxicity than the individual phases (GERLOFF et al., 2012; GURR et al., 2005), by transferring photoinduced electrons from anatase to rutile (KAWAHARA et al., 2003). These additive effects are possible when the percentage of anatase is higher than rutile (ISWARYA et al., 2015), suggesting that the histopathological and genotoxic damages observed in our study may be associated with both polymers (anatase and rutile) of the mixture.

A common behavior of TiO2-NPs is the tendency to aggregate and agglomerate, which was previously observed through SEM and transmission electron microscopy (TEM) in several studies (CARMO et al., 2019; LEE et al., 2019; VIGNARDI et al., 2015; WANG; LUO; YAN, 2018). In the DLS analysis, the particle sizes of TiO2-NPs corresponded to the estimated size by SEM due to N,N-dimethylformamide, which has previously demonstrated capable of turning the samples stable and monodisperse (TERISSE et al., 2013). However, DLS measurements usually present larger sizes in water solutions as dispersed nanoparticles can rapidly agglomerate because of physicochemical properties of the water and the surface charge of TiO2-NPs (ATES et al., 2013; STROBEL et al., 2014).

Regarding water turbidity, some studies have already reported visible turbidity in TiO2-NPs suspensions caused by large nanoparticle agglomerates that can settle out by gravity (EPA, 2010). Several factors may have contributed to the agglomeration, such as pH, ionic strength, temperature, water hardness, presence of microorganisms and natural organic matter (GRILLO; ROSA; FRACETO, 2015), but it is worth mentioning that the maintenance of most of these parameters is essential for the quality of life of Danio rerio. In these cases, TiO2-NPs concentration in the liquid phase is affected and might be different from the concentration calculated from added TiO2-NPs (VELZEBOER et al., 2008). Baalousha (2009) observed, in his study with iron oxide nanoparticles, that the sedimentation rate of the particles seems to be directly proportional to the initial concentration. Considering that the gills have direct contact with the bloodstream (WILSON; LAURENT, 2002), this concentration difference could have mainly affected genotoxic effects in 40 mg L-1 of TiO2-NPs, which is very superior to our other concentrations.

The exposure to toxic agents does not always result in the death of aquatic organisms, especially when they are exposed to non-lethal concentrations (ARENZON et al., 2013). In this sense, our data agree with the literature, confirming the low lethality of TiO2-NPs in acute exposures. Clemente et al. (2014) obtained LC50 values ​​(96 hours) > 100 mg L-1 of TiO2-NPs mixture in Danio rerio embryos, which was also observed in Carassius auratus (ATES et al., 2013). For long-term experiments, the information available in the literature is still scarce, especially for fish exposed to TiO2-NPs suspensions. In Prochilodus lineatus, subchronic exposure (14 days) to 1, 5, 10 and 50 mg L-1 of TiO2-NPs did not result in the death of any animal (CARMO et al., 2019), while another study with adult Danio rerio reported significant mortality from fish chronically exposed (6 months) to 7 mg L-1 of TiO2-NPs (CHEN et al., 2011). Thus, even if chronic exposure (30 days) to 5, 20 and 40 mg L-1 of TiO2-NPs did not cause the death of Danio rerio, these concentrations may be lethal in longer exposures.

In toxicological studies, the intestine is a relevant organ because of being the first physiological barrier for orally ingested chemicals that can be potentially toxic (RYU et al., 2018). In the present study, there was an increase in the thickness of intestinal villi, also called as hyperplasia, in 20 and 40 mg L-1 of TiO2-NPs in the acute and chronic exposures. This hyperplasia may be due to an enterocyte adaptation after suffering an injury stimulated by the higher concentrations of TiO2-NPs, which can reduce the absorption of nutrients (AMMENDOLIA et al., 2017). Guo et al. (2017) observed that TiO2-NPs caused an impact on the transport of iron, zinc, and fatty acids in Caco-2 cells, but no signs of inflammation or major alterations were observed. In the present study, there was no significant difference in the amount of goblet cells, so as Blevins et al. (2019) in their study with rats orally exposed to E171 for 100 days. In the small intestine of Danio rerio, goblet cells play an important role in the immune responses against foreign antigens, indicating that the amount of goblet cells was not sufficient to avoid intestinal damage, but was efficient in protecting the epithelium from inflammation during both exposure times (MENKE et al., 2011).

Regarding the intestinal absorption of particles, it was believed that particles larger than 50 nm would have an insignificant diffusion rate in the gastrointestinal tract of mammals because of the goblet cells, but actually pores within the mucus layer can pass particles up to 500 nm (JOVANOVIĆ, 2015; LAI et al., 2007). As reported by Chen et al. (2013), TiO2-NPs are able to cross the gastrointestinal tract and distribute to other organs, leading to a gradual accumulation in the whole body. In Carassius auratus, the exposure to 10 and 100 mg L-1 of TiO2-NPs for 5 days promoted Ti bioaccumulation in the intestine and gills (ATES et al., 2013). In another study, Danio rerio orally exposed to 200 and 400 µg of TiO2-NPs for 7 and 14 days presented Ti bioaccumulation in the intestine and liver, along with apical vacuolization and distal rupture of the epithelial cells of the intestinal villi, although there were no changes in other layers of the intestinal wall (CUNHA; BRITO-GITIRANA, 2020). These results indicate that even short exposure times can promote some histopathological changes in the intestine due to Ti bioaccumulation, while major alterations can be restrained by the goblet cell barrier.

Some other in vivo studies have evaluated the effect of TiO2-NPs in the intestine after long-term exposures (MU et al., 2019; ZHU et al., 2020). Urrutia-Ortega et al. (2016) observed an increase in tumor formation in a colitis associated cancer (CAC) model after intragastric exposure to E171 for 11 weeks, along with over-expression of p65-NF-kB and reduced number of goblet cells in the colon tissue. In accordance, Bettini et al. (2017) noted an increase in the number of aberrant crypts as well as the number of large colonic aberrant crypt foci (ACF) in the colon of a chemically induced carcinogenesis model treated with E171 (10 mg kg-1) for 100 days. These animals also presented an increase in TNF-α, IL-8 and IL-10 levels, which was not observed in rats treated with E171 for 7 days at the same dosage (BETTINI et al., 2017). These findings suggest that longer exposures to TiO2-NPs could have promoted goblet cell reduction and consequently inflammation and carcinogenesis, although these parameters have not been evaluated in fish experiments for such exposure times yet.

The liver is another highly investigated organ because of its biotransformation reactions that can increase toxicity and carcinogenicity of metabolites (WOLF; WHEELER, 2018). One of the main alterations observed in the hepatic tissue is vacuolization, differentiated in glycogen-type, which has a flocculent, angular, and central nucleus, and lipid-type, which is characterized by a nucleus displacement to periphery (WOLF; WHEELER, 2018; WOLF; WOLFE, 2005). As in other studies (FEDERICI; SHAW; HANDY, 2007; HAO; WANG; XING, 2009; MORGAN et al., 2018; ORAZIZADEH et al., 2014), an increase of both types of vacuolization was observed in hepatocytes of Danio rerio after TiO2-NPs exposure, as well as the decrease of normal hepatocytes because of tissue alteration. The results presented in the acute exposure mean that the highest concentration is already capable of causing changes in a 96-hour exposure. In the chronic exposure, histological alterations were only observed in the lowest concentration, and not in 20 and 40 mg L-1 of TiO2-NPs. This is possibly because of an intense particle agglomeration in the highest concentrations, which usually turn them less mobile and make them interact with suspended and sedimentary organic matter (CRANE et al., 2008; POWELL et al., 2010).

Previous studies have shown that TiO2-NPs can accumulate in different organs, mainly the liver (HERINGA et al., 2018). Chen et al. (2011) investigated the chronic toxicity (2, 4 and 6 months) of TiO2-NPs (1, 2, 4, 5 and 7 mg L-1) in Danio rerio and observed high amounts of Ti in the liver and gills, besides an increase in liver weight in a concentration and time dependent manner that results in liver damage and can lead to lipidosis. A similar result was found by Federici, Shaw, and Handy (2007), who evaluated liver histology of Oncorhynchus mykiss exposed to 0.1, 0.5 and 1 mg L-1 of TiO2-NPs and observed histological changes, such as: loss of sinusoid space, necrotic cells, cells with condensed nuclear bodies (apoptotic bodies) and cells showing nuclear division with condensed nuclear material. The authors also observed a few foci of lipidosis with minor fatty change similar to the vacuolization found in our study (FEDERICI; SHAW; HANDY, 2007). These studies demonstrate that Ti is capable of bioaccumulating in the liver even in lower concentrations of TiO2-NPs, and it reflects the histopathological changes presented in the liver.

 Although the mechanisms of TiO2-NPs hepatic toxicity are not yet clear, some biochemical alterations are being associated with liver alterations (JIA et al., 2017; TUNÇSOY, 2021). In a study carried out by Hajirezaee, Mohammadi, and Naserabad (2020), Cyprinus carpio exposed to 0.125 mg L-1 of TiO2-NPs for 21 days presented histological changes in the liver, such as: cytoplasm vacuolization, hepatocyte cloudy swelling, hypertrophy of the hepatocytes and nucleus atrophy. The animals also showed a reduction in SOD activity, and higher levels of cortisol, glucose, triglycerides, and liver damage biomarkers (alanine aminotransferase, aspartate aminotransferase, alkaline phosphatase) (HAJIREZAEE; MOHAMMADI; NASERABAD, 2020). These results clarify that TiO2-NPs affect energy and lipid metabolism, which could elucidate the increase in cell vacuolization observed in our study.

TiO2-NPs demonstrate, in different studies, their ability to induce genotoxicity as a result of the exposure (JUGAN et al., 2012; LI et al., 2017; FILHO et al., 2019). However, conflicting results have been reported in micronucleus test. Positive and negative results were observed, for example, in human bronchial epithelial cells (BEAS-2B) (GURR et al., 2005; PRASAD et al., 2013) and human lymphocytes (TAVARES et al., 2014). The data setback can be explained by the use of different nanoparticles and means of preparation of the suspensions, causing different biological activities (MURUGADOSS et al., 2020). Another bias for different genotoxicity results in proliferative cells is the exposure time, considering that nanoparticles seem to require longer time for cell penetration and internalization than other chemical agents (KARLSSON et al., 2015). It means that the acute exposure time (96 hours) was not enough to cause chromosomal damage in Danio rerio erythrocytes. At the same time, these results reinforce the need to also assess chronic exposures to understand the real extent of the damage.

The micronucleus test is an important in vitro and in vivo biomarker of numerical and structural chromosomal changes caused by major damage to genetic material (HAYASHI, 2016). During cell division, DNA double-strand breaks can permit the separation of whole or fragmented chromosomes from chromatin, giving rise to micronuclei (FENECH et al., 2003). This alteration may be associated with unregulated proliferation and anchorage-independent cell growth, which can lead to mutagenesis and carcinogenesis (HUANG et al., 2009). Our results are in accordance with studies in vitro (DEMIR et al., 2015) and in vivo (TROUILLER et al., 2009), which reported the occurrence of micronuclei after TiO2-NPs exposure.

Through nuclear abnormalities, it is possible to identify clastogenic agents, which cause chromosomal breakage, and aneugenic agents, which induce aneuploidy during cell division (STICE et al., 2019). Some studies have shown that TiO2-NPs exposure can induce clastogenic and aneugenic effects by the occurrence of binucleated cells and cell budding, for example (FILHO et al., 2019; VIDYA; CHITRA, 2018; VIGNARDI et al., 2015). However, the induction process of these structures is not yet fully understood.

Cell budding is characterized by a small evagination of the nuclear envelope containing euchromatin (CARRASCO; TILBURY; MYERS, 1990). Its formation represents DNA amplification and chromosomal instability (FENECH et al., 2011), which may be the result of a possible interaction between TiO2-NPs and components of the mitotic spindle or proteins involved in chromosomal segregation (BIOLA-CLIER et al., 2020; HUANG et al., 2009). Budding can also become micronuclei (FENECH et al., 2011), which may be the reason for the increase of this abnormality in our study. In addition, the increase in buds between exposure times can be justified by a cell cycle delay caused by TiO2-NPs after cell damage, accumulating a greater number of cells with buds over time (MEDINA-REYES et al., 2015).

Besides the interaction with DNA or non-DNA components, TiO2-NPs genotoxicity can be also mediated by reactive oxygen species (ROS) through nanoparticle catalytic activity or chronic inflammation (MAGDOLENOVA et al., 2012; WANI; SHADAB, 2020). In zebrafish, the increase in ROS after chronic exposure to TiO2-NPs is observed along with changes in antioxidant enzymes, such as glutathione S-transferase (GST), catalase (CAT) and superoxide dismutase (SOD) (BAR-ILAN et al., 2012; TANG; ZHANG; ZHU, 2019). The redox imbalance can result in oxidation of cellular components, which affects cell integrity and alters mechanisms such as signaling, proliferation and cell death (PURUSHOTHAMAN et al., 2014; WANI; SHADAB, 2020). In nanoparticle-induced inflammation, neutrophils and macrophages produce ROS via an inflammation-signaling pathway, resulting in lipid peroxidation and consequently tissue damage (BRAND et al., 2020).

Results presented in this study indicate that TiO2-NPs in concentrations for human use are harmful to different organs of zebrafish in different exposure times and cause genotoxic damage, especially after chronic exposures. This represents human exposure time, as TiO2-NPs are present in food and products of daily use, and are constantly reaching the environment. In this sense, more studies are necessary to assess histopathological and genotoxic effects of TiO2-NPs and possible mechanisms involved in acute and chronic toxicity of this nanoparticle. Despite the wide range of authors reporting pathological changes in organisms exposed to TiO2-NPs (AMMENDOLIA et al., 2017; BETTINI et al., 2017; CHEN et al., 2011; HERINGA et al., 2018; KOTIL; AKBULUT; YÖN, 2017; LI et al., 2019; TANG; ZHANG; ZHU, 2019; URRUTIA-ORTEGA et al., 2016), the European Food Safety Authority (EFSA, 2016) concluded that the consumer exposure to E171 in their food uses are unlikely to cause health risks. However, the Agence Nationale de Sécurité Sanitaire I’alimentation, de I’environnement et du travail (ANSES, 2019) questioned this decision, reevaluated studies and decided to ban the use of TiO2-NPs as a food additive in France due to its genotoxic potential, which is not yet true in other countries.

5 Conclusion

Titanium dioxide nanoparticles, in human consumption compatible concentrations, caused histopathological changes in the intestine and liver of Danio rerio after acute and chronic exposures, whereas genotoxicity was only observed after chronic exposure to TiO2-NPs in the micronucleus test. These data emphasize TiO2-NPs toxicity on different tissues of zebrafish, so its widespread use and lack of regulation in food products cause concerns regarding the health of its consumers.

Acknowledgments

The authors are grateful to CAPES (Coordenação de Aperfeiçoamento de Pessoal de Nível Superior) for the master and doctorate scholarships, FAPERGS (Fundação de Amparo à Pesquisa do Estado do Rio Grande do Sul) for the undergraduate scholarship and Feevale University for the structure.

References

ABNT - ASSOCIAÇÃO BRASILEIRA DE NORMAS TÉCNICAS. NBR 15088: Ecotoxicologia aquática - toxicidade aguda - método de ensaio com peixes (Cyprinidae). 2016. Available from: https://www.abntcatalogo.com.br/norma.asp-x?ID=364988. Accessed on: 30 nov. 2020.

AMMENDOLIA, M. G. et al. Short-term oral exposure to low doses of nano-sized TiO2 and potential modulatory effects on intestinal cells. Food Chemical Toxicology, [S.L.], v. 102, p. 63-75, abr. 2017. DOI 10.1016/j.fct.2017.01.031.

ANSES - AGENCE NATIONALE DE SÉCURITÉ SANITAIRE L'ALIMENTATION, DE L'ENVIRONNEMENT ET DU TRAVAIL. Opinion of the French Agency for Food, Environmental and Occupational Health & Safety on the risks associated with ingestion of the food additive E171, 2019. Available from: https://www.anses.fr/en/content/anses-opinion-risks-associated-ingestion-food-additive-e171. Accessed on: 20 oct. 2020.

ANVISA - AGÊNCIA NACIONAL DE VIGILÂNCIA SANITÁRIA. RDC Nº 239, de 26 de julho de 2018: Estabelece os aditivos alimentares e coadjuvantes de tecnologia autorizados para uso em suplementos alimentares, 2018. Available from: http://antigo.anvisa.gov.br/documents/10181/3898839/%283%29RDC_239_2018_COMP.pdf/603b8242-989f-41c3-a9ad-0da61dd59b0c. Accessed on: 17 feb. 2021.

ARENZON, A. et al. A determinação da toxicidade crônica para peixes baseada apenas na sobrevivência é suficiente?. Ecotoxicology and Environmental Contamination, Porto Alegre, v. 8, n. 2, p. 65-68, 2013. DOI 10.5132/eec.2013.02.010.

ASZTEMBORSKA, M. et al. Titanium dioxide nanoparticle circulation in an aquatic ecosystem. Water, Air and Soil Pollution, Poland, v. 229, n. 6, Article ID 208, 2018. DOI 10.1007/s11270-018-3852-8.

ATES, M. et al. Bioaccumulation, subacute toxicity, and tissue distribution of engineered titanium dioxide nanoparticles in Goldfish (Carassius auratus). Journal of Nanomaterials, Turkey, v. 2013, 2013. DOI 10.1155/2013/460518

BAALOUSHA, M. Aggregation and disaggregation of iron oxide nanoparticles: Influence of particle concentration, pH and natural organic matter. Science of the Total Environment, Edgbaston, v. 407, n. 6, p. 2093-2101, 2009. DOI 10.1016/j.scitotenv.2008.11.022.

BAR-ILAN, O. et al. Titanium dioxide nanoparticles produce phototoxicity in the developing zebrafish. Nanotoxicology, Madison, v. 6, n. 6, p. 670-679, 2012. DOI 10.3109/17435390.2011.604438

BETTINI, S. et al. Food-grade TiO2 impairs intestinal and systemic immune homeostasis, initiates preneoplastic lesions and promotes aberrant crypt development in the rat colon. Scientific Reports, Grenoble, v. 7, Article ID 40373, p. 1-13, 2017. DOI 10.1038/srep40373.

BIOLA-CLIER, M. et al. Titanium dioxide nanoparticles alter the cellular phosphoproteome in A549 Cells. Nanomaterials (Basel), France, v. 10, n. 185, 2020. DOI 10.3390/nano10020185.

BLEVINS, L. K. et al. Evaluation of immunologic and intestinal effects in rats administered an E 171-containing diet, a food grade titanium dioxide (TiO2). Food and Chemical Toxicology, USA, v. 133, 2019. DOI 10.1016/j.fct.2019.110793.

BOBORI, D. et al. Common mechanisms activated in the tissues of aquatic and terrestrial animal models after TiO2 nanoparticles exposure. Environment International, Thessaloniki, v. 138, e105611, 2020. DOI 10.1016/j.envint.2020.105611.

BOUWMEESTER, H.; ZANDE, M. V. D.; JEPSON, M. A. Effects of food-borne nanomaterials on gastrointestinal tissues and microbiota. Wiley Interdisciplinary Reviews: Nanomedicine and Nanobiotechnology, Wageningen, v. 10, n. 1, e1481, 2017. DOI 10.1002/wnan.1481.

BOVERHOF, D. R. et al. Comparative assessment of nanomaterial definitions and safety evaluation considerations. Regulatory Toxicology and Pharmacology, St. Paul (MN), v. 73, n. 1, p. 137-150, 2015. DOI 10.1016/j.yrtph.2015.06.001.

BOXALL, A. B. A.; TIEDE, K.; CHAUDHRY, Q. Engineered nanomaterials in soils and water: how do they behave and could they pose a risk to human health? Nanomedicine (Lond), v. 2, n. 6, p. 919-927, 2007. DOI 10.2217/17435889.2.6.919.

BRAND, W. et al. Possible effects of titanium dioxide particles on human liver, intestinal tissue, spleen and kidney after oral exposure. Nanotoxicology, the Netherland, v. 14, n. 7, p. 985-1007, 2020. DOI 10.1080/17435390.2020.1778809.

CARMO, T. L. L. et al. Reactive oxygen species and other biochemical and morphological biomarkers in the gills and kidneys of the Neotropical freshwater fish, Prochilodus lineatus, exposed to titanium dioxide (TiO2) nanoparticles. Environmental Science and Pollution Research International, São Carlos (SP), v. 25, n. 23, p. 22963-22976, 2018. DOI 10.1007/s11356-018-2393-4.

CARMO, T. L. L. et al. Overview of the toxic effects of titanium dioxide nanoparticles in blood, liver, muscles, and brain of a Neotropical detritivorous fish. Environmental Toxicology, São Carlos (SP), v. 34, n. 4, p. 457-468, 2019. DOI 10.1002/TOX.22699.

CARRASCO, K. R.; TILBURY, K. L.; MYERS, M. S. Assessment of the piscine micronucleus test as an in situ biological indicator of chemical contaminant effects. Canadian Journal of Fisheries and Aquatic Sciences, USA, v. 47, n. 11, p. 2123-2136, 1990. DOI 10.1139/f90-237.

CHEN, J. et al. Effects of titanium dioxide nano-particles on growth and some histological parameters of zebrafish (Danio rerio) after a long-term exposure. Aquatic Toxicology, China, v. 101, n. 3–4, p. 493–499, 2011. DOI 10.1016/j.aquatox.2010.12.004.

CHEN, X.-X. et al. Characterization and Preliminary Toxicity Assay of Nano-Titanium Dioxide Additive in Sugar-Coated Chewing Gum. Small, China, v. 9, n. 9–10, p. 1765–1774, 2013. DOI 10.1002/smll.201201506.

CHEN, X.; SCHLUESENER, H. J. Nanosilver: A nanoproduct in medical application. Toxicology Letters, Tuebingen, v. 176, n. 1, p. 1–12, jan. 2008. DOI 10.1016/j.toxlet.2007.10.004.

CHEN, Z. et al. Combined effect of titanium dioxide nanoparticles and glucose on the cardiovascular system in young rats after oral administration. Journal of Applied Toxicology: JAT, China, v. 39, n.4, p. 590-602, 2019. DOI 10.1002/jat.3750.

CLEMENTE, Z. et al. Toxicity assessment of TiO2 nanoparticles in zebrafish embryos under different exposure conditions. Aquatic Toxicology, Campinas (SP), v. 147, p. 129–139, 2014. DOI 10.1016/j.aquatox.2013.12.024.

CRANE, M. et al. Ecotoxicity test methods and environmental hazard assessment for engineered nanoparticles. Ecotoxicology, Faringdon, v. 17, n. 5, p. 421–437, 2008. DOI 10.1007/s10646-008-0215-z.

CUNHA, R. L. D.; BRITO-GITIRANA, L. Effects of titanium dioxide nanoparticles on the intestine, liver, and kidney of Danio rerio. Ecotoxicology and Environmental Safety, Brazil, v. 203, e111032, 2020. DOI 10.1016/j.ecoenv.2020.111032.

DALZOCHIO, T. et al. In situ monitoring of the Sinos River, southern Brazil: water quality parameters, biomarkers, and metal bioaccumulation in fish. Environmental Science and Pollution Research, Brazil, v. 25, 9485, 2018. DOI 10.1007/s11356-018-1244-7.

DEMIR, E. et al. Genotoxic and cell-transforming effects of titanium dioxide nanoparticles. Environmental Research, Spain, v. 136, p. 300-308, 2015. DOI 10.1016/j.envres.2014.10.032.

DUDEFOI, W. et al. Impact of food grade and nano-TiO2 particles on a human intestinal community. Food and Chemical Toxicology, Kingston, v. 106, p. 242–249, 2017. DOI 10.1016/j.fct.2017.05.050.

EFSA - European Food Safety Authority. Re-evaluation of titanium dioxide (E 171) as a food additive. Journal European Food Safety Authority, v. 14, n. 9, 2016.

EPA - U. S. Environmental Protection Agency. Nanomaterial case studies: Nanoscale titanium dioxide in water treatment and in topical sunscreen. 2010. Available from: https://cfpub.epa.gov/ncea/risk/recordisplay.cfm?deid=230972. Accessed on: 7 jan. 2021.

EP - European Parliament. Regulation (EU) 2015/647 of 24 April 2015: Amending and correcting Annexes II and III to Regulation (EC) No 1333/2008 of the European Parliament and of the Council as regards the use of certain food additives, 2015. Available from: https://webgate.ec.europa.eu/foods_system/main/?event=document. view&identifier=17071&documentCrossTable=legislation&documentType=legislation&documentTypeIdentifier=-1 Accessed on: 20 jan. 2021.

FDA - U. S. Food and Drug Administration. Code of Federal Regulations Title 21. 2020. Available from: https://www.accessdata.fda.gov/scripts/cdrh/cfdocs/cfcfr/CFR Search.cfm?fr=73.1575. Accessed on: 9 mar. 2021.

FEDERICI, G.; SHAW, B. J.; HANDY, R. D. Toxicity of titanium dioxide nanoparticles to rainbow trout (Oncorhynchus mykiss): Gill injury, oxidative stress, and other physiological effects. Aquatic Toxicology, Plymouth, v. 84, n. 4, p. 415–430, 2007. DOI 10.1016/j.aquatox.2007.07.009.

FENECH, M. et al. HUMN project: Detailed description of the scoring criteria for the cytokinesis-block micronucleus assay using isolated human lymphocyte cultures. Mutation Research, Adelaide (SA), v. 534, n. 1-2, p. 65-75, 2003. DOI 10.1016/s1383-5718(02)00249-8.

FENECH, M. et al. Molecular mechanisms of micronucleus, nucleoplasmic bridge and nuclear bud formation in mammalian and human cells. Mutagenesis, Australia, v. 26, n. 1, p. 125-132, 2011. DOI 10.1093/mutage/geq052.

FILHO, R. S. et al. Genotoxicity of titanium dioxide nanoparticles and triggering of defense mechanisms in Allium cepa. Genetics and Molecular Biology, Brazil, v. 42, n. 2, p. 425-435, 2019. DOI 10.1590/1678-4685-GMB-2018-0205.

GERLOFF, K. et al. Distinctive toxicity of TiO2 rutile/anatase mixed phase nanoparticles on Caco-2 cells. Chemical Research in Toxicology, Germany, v. 25, n. 3, p. 646-655, 2012. DOI 10.1021/tx200334k.

GRILLO, R.; ROSA, A. H.; FRACETO, L. F. Engineered nanoparticles and organic matter: A review of the state-of-the-art. Chemosphere, Campinas (SP), v. 119, p. 608-619, 2015. DOI 10.1016/j.chemosphere.2014.07.049.

GUO, Z. et al. Titanium dioxide nanoparticle ingestion alters nutrient absorption in an in vitro model of the small intestine. NanoImpact, Ithaca (NY), v. 5, p. 70-82, 2017. DOI 10.1016/j.impact.2017.01.002.

GURR, J. et al. Ultrafine titanium dioxide particles in the absence of photoactivation can induce oxidative damage to human bronchial epithelial cells. Toxicology, Taiwan, v. 213 n. 1-2, p. 66-73, 2005. DOI 10.1016/j.tox.2005.05.007.

HAJIREZAEE, S.; MOHAMMADI, G.; NASERABAD, S. S. The protective effects of vitamin C on common carp (Cyprinus carpio) exposed to titanium oxide nanoparticles (TiO2-NPs). Aquaculture, Iran, v. 518, e734734, 2020. DOI 10.1016/j.aquaculture.2019.734734.

HAO, L.; WANG, Z.; XING, B. Effect of sub-acute exposure to TiO2 nanoparticles on oxidative stress and histopathological changes in Juvenile Carp (Cyprinus carpio). Journal of Environmental Sciences (China), China, v. 21, n. 10, p. 1459-1466, 2009.  DOI 10.1016/s1001-0742(08)62440-7.

HAYASHI, M. The micronucleus test: Most widely used in vivo genotoxicity test. Genes Environment, Japan, v. 38, Article ID 18, 2016. DOI 10.1186/s41021-016-0044-x.

HAYES, A. W.; SAHU, S. C. Genotoxicity of engineered nanomaterials found in the human environment. Current Opinion in Toxicology, Florida, v. 19, p. 68-71, 2020. DOI 10.1016/j.cotox.2019.12.003.

HERINGA, M. B., et al. Detection of titanium particles in human liver and spleen and possible health implications. Particle and Fibre Toxicology, The Netherlands, v. 15, n. 1, Article ID 15, 2018. DOI 10.1186/s12989-018-0251-7.

HSU, C. et al. The zebrafish model: Use in studying cellular mechanisms for a spectrum of clinical disease entities. Current Neurovascular Research, Kaohisung, v. 4, n. 2, p. 111-120, 2007. DOI 10.2174/156720207780637234.

HUANG, S. et al. Disturbed mitotic progression and genome segregation are involved in cell transformation mediated by nano-TiO2 long-term exposure. Toxicology and Applied Pharmacology, Taiwan, v. 241, n. 2, p. 182-194, 2009. DOI 10.1016/j.taap.2009.08.013.

IARC - INTERNATIONAL AGENCY FOR RESEARCH ON CANCER. Carbon black, titanium dioxide, and talc. IARC monographs on the evaluation of carcinogenic risks to humans. v. 93, 1st ed., Lyon: International Agency for Research on Cancer, 2010.

ISO - INTERNATIONAL ORGANIZATION FOR STANDARDIZATION. ISO 7346-3:1996: Water quality — Determination of the acute lethal toxicity of substances to a freshwater fish [Brachydanio rerio Hamilton-Buchanan (Teleostei, Cyprinidae)] — Part 3: Flow-through method. ISO, 1996. Available from: https://www.iso.org/standard/14030.html. Accessed on: 20 dec. 2020.

ISWARYA, V. et al. Combined toxicity of two crystalline phases (anatase and rutile) of titania nanoparticles towards freshwater microalgae: Chlorella sp. Aquatic Toxicology, India, v. 161, p. 154-169, 2015. DOI 10.1016/j.aquatox.2015.02.006.

JIA, X. et al. The potential liver, brain, and embryo toxicity of titanium dioxide nanoparticles on mice. Nanoscale Research Letters, China, v. 12, Article ID 478, 2017. DOI 10.1186/s11671-017-2242-2.

JOVANOVIĆ, B. Critical review of public health regulations of titanium dioxide, a human food additive. Integrated Environmental Assessment and Management, Turkey, v. 11, n. 1, p. 10-20, 2015. DOI 10.1002/ieam.1571.

JUGAN, M. -L., et al. Titanium dioxide nanoparticles exhibit genotoxicity and impair DNA repair activity in A549 cells. Nanotoxicology, Gif-sur-Yvette, v. 6, n. 5, p. 501-513, 2012. DOI 10.3109/17435390.2011.587903.

KARLSSON, H. L. et al. Can the comet assay be used reliably to detect nanoparticle-induced genotoxicity? Environmental and Molecular Mutagenesis, Sweden, v. 56, n. 2, p. 82-96, 2015. DOI 10.1002/em.21933.

KAWAHARA, T. et al. Photocatalytic activity of rutile-anatase coupled TiO2 particles prepared by a dissolution-reprecipitation method. Journal of Colloid and Interface Science, Tokyo, v. 267, n. 2, p. 377-381, 2003. DOI 10.1016/s0021-9797(03)00755-0.

KHAN, Z. et al. Toxicity assessment of anatase (TiO2) nanoparticles: a pilot study on stress response alterations and DNA damage studies in Lens culinaris Medik. Heliyon, India, v. 5, n. 7, e02069, 2019. DOI 10.1016/j.heliyon.2019.e02069.

KOTIL, T.; AKBULUT, C.; YÖN, N. D. The effects of titanium dioxide nanoparticles on ultrastructure of zebrafish testis (Danio rerio). Micron, Turkey, v. 100, p. 38-44, 2017. DOI 10.1016/j.micron.2017.04.006.

LAI, S. K. et al. Rapid transport of large polymeric nanoparticles in fresh undiluted human mucus. Proceedings of the National Academy of Sciences of the United States of America, USA, v. 104, n. 5, p. 1482-1487, 2007. DOI 10.1073/pnas.0608611104.

LEE, J. et al. Titanium dioxide nanoparticles oral exposure to pregnant rats and its distribution. Particle and Fibre Toxicology, Deajeon, v. 16, n. 31, p. 1-12, 2019. DOI 10.1186/s12989-019-0313-5.

LI, X., et al. Prebiotic protects against anatase titanium dioxide nanoparticles-induced microbiota-mediated colonic barrier defects. NanoImpact, China, v. 14, e100164, 2019. DOI 10.1016/j.impact.2019.100164.

LI, Y. et al. Genotoxicity and gene expression analyses of liver and lung tissues of mice treated with titanium dioxide nanoparticles. Mutagenesis, USA, v. 32, n. 1, p. 33-46, 2017. DOI 10.1093/mutage/gew065.

MAGDOLENOVA, Z. et al. Impact of agglomeration and different dispersions of titanium dioxide nanoparticles on the human related in vitro cytotoxicity and genotoxicity. Journal of Environmental Monitoring: JEM, Norway, v. 14, n. 2, p. 455-464, 2012. DOI 10.1039/c2em10746e.

MAURICE, P. A.; HOCHELLA, M. F. Chapter 5 Nanoscale particles and processes: A new dimension in soil science. Advences in Agronomy, v. 100, p. 123-153, 2008.

MEDINA-REYES, E. I. et al. Cell cycle synchronization reveals greater G2/M-phase accumulation of lung epithelial cells exposed to titanium dioxide nanoparticles. Environmental Science and Pollution Research International, México, v. 22, n. 5, p. 3976-3982, 2015. DOI 10.1007/s11356-014-3871-y.

MENKE, A. L. et al. Normal anatomy and histology of the adult zebrafish. Toxicologic Pathology, The Netherlands, v. 39, n. 5, p. 759-775, 2011. DOI 10.1177/0192623311409597.

MORGAN, A. et al. Innovative perception on using Tiron to modulate the hepatotoxicity induced by titanium dioxide nanoparticles in male rats. Biomedicine & Pharmacotherapy, Egypt, v. 103, p. 553-561, 2018. DOI 10.1016/j.biopha.2018.04.064.

MU, W. et al. Effect of long-term intake of dietary titanium dioxide nanoparticles on intestine inflammation in mice. Journal of Agricultural and Food Chemistry, China, v. 67, n. 33, p. 9382-9389, 2019. DOI 10.1021/acs.jafc.9b02391.

MURUGADOSS, S. et al. Agglomeration of titanium dioxide nanoparticles increases toxicological responses in vitro and in vivo. Particle and Fibre Toxicology, Belgium, v. 17, Article ID 10, 2020. DOI 10.1186/s12989-020-00341-7.

ORAZIZADEH, M. et al. Effect of glycyrrhizic acid on titanium dioxide nanoparticles-induced hepatotoxicity in rats. Chemico-Biological Interactions, Iran, v. 220, p. 214-221, 2014. DOI 10.1016/j.cbi.2014.07.001.

PICCINNO, F. et al. Industrial production quantities and uses of ten engineered nanomaterials in Europe and the world. Journal Nanoparticle Research, Switzerland, v. 14, e1109, 2012. DOI 10.1007/s11051-012-1109-9.

POWELL, J. J. et al. Origin and fate of dietary nanoparticles and microparticles in the gastrointestinal tract. Journal of Autoimmunity, Cambridge, v. 34, n. 3, p. J226-J233, 2010. DOI 10.1016/j.jaut.2009.11.006.

PRASAD, R. Y. et al. Effect of treatment media on the agglomeration of titanium dioxide nanoparticles: Impact on genotoxicity, cellular interaction, and cell cycle. ACS Nano, North Carolina, v. 7, n. 3, p. 1929-1942, 2013. DOI 10.1021/nn302280n.

PURUSHOTHAMAN, S. et al. Acute exposure to titanium dioxide (TiO2) induces oxidative stress in zebrafish gill tissues. Toxicological & Environmental Chemistry, India, v. 96, n. 6, p. 890-905, 2014. DOI 10.1080/02772248.2014.987511.

ROBICHAUD, C. O. et al. Estimates of upper bounds and trends in nano-TiO2 production as a basis for exposure assessment. Environmental Science & Technology, Durham, v. 43, n. 12, p. 4227-4233, 2009. DOI 10.1021/es8032549.

ROCCO, L. et al. Genotoxicity assessment of TiO2 nanoparticles in the teleost Danio rerio. Ecotoxicology and Environmental Safety, Caserta, v. 113, p. 223-230, 2015. DOI 10.1016/j.ecoenv.2014.12.012.

RODRIGUES, G. Z. P. et al. Evaluation of intestinal histological damage in zebrafish exposed to environmentally relevant concentrations of manganese. Ciência e Natura, Brasil, v. 40, e52, 2018. DOI 10.5902/2179460X31681.

RODRIGUES, G. Z. P. et al. Histopathological, genotoxic, and behavioral damages induced by manganese (II) in adult zebrafish. Chemosphere, Brazil, v. 244, e125550, 2020. DOI 10.1016/j.chemosphere.2019.125550.

ROMPELBERG, C. et al. Oral intake of added titanium dioxide and its nanofraction from food products, food supplements and toothpaste by the Dutch population. Nanotoxicology, The Netherlands, v. 10, n. 10, p. 1404-1414, 2016. DOI 10.1080/17435390.2016.1222457.

RYU, B. et al. Development of an alternative zebrafish model for drug-induced intestinal toxicity. Journal of Applied Toxicology, Republic of Korea, v. 38, n. 2, p. 259-273, 2018. DOI 10.1002/jat.3520.

SAYES, C. M. et al. Correlating nanoscale titania structure with toxicity: A cytotoxicity and inflammatory response study with human dermal fibroblasts and human lung epithelial cells. Toxicological Sciences: an official journal of the Society of Toxicology, Houston (TX), v. 92, n. 1, p. 174-185, 2006. DOI 10.1093/toxsci/kfj197.

SIPES, N. S.; PADILLA, S.; KNUDSEN, T. B. Zebrafish: As an integrative model for twenty-first century toxicity testing. Birth Defects Research. Part C, Embryo Today: Reviews, North Carolina, v. 93, n. 3, p. 256-267, 2011. DOI 10.1002/bdrc.20214.

STICE, S. A. et al. Chapter 44 - Genotoxicity biomarkers: Molecular basis of genetic variability and susceptibility. In: GUPTA, R. C. (ed.). Biomarkers in Toxicology, 2019, 2nd ed., p. 807-821. DOI 10.1016/C2017-0-01788-3.

STROBEL, C. et al. Effects of the physicochemical properties of titanium dioxide nanoparticles, commonly used as sun protection agents, on microvascular endothelial cells. Journal of Nanoparticle Research, Germany, v. 16, n. 1, e2130, 2014. DOI 10.1007/s11051-013-2130-3.

TANG, T.; ZHANG, Z.; ZHU, X. Toxic effects of TiO2 NPs on zebrafish. International Journal of Environmental Research and Public Health, China, v. 16, n. 4, e523, p. 1-14, 2019. DOI 10.3390/ijerph16040523.

TAVARES, A. M. et al. Genotoxicity evaluation of nanosized titanium dioxide, synthetic amorphous silica and multi-walled carbon nanotubes in human lymphocytes. Toxicology In Vitro, Portugal, v. 28, n. 1, p. 60-69, 2014. DOI 10.1016/j.tiv.2013.06.009.

TERISSE, H. et al. Monodispersed titanium oxide nanoparticles in N,N-dimethylformamide: Water solutions. Journal of Sol-Gel Science and Technology, France, v. 67, p. 288-296, 2013. DOI 10.1007/s10971-013-3078-6.

THOMAS, C. R. et al. Nanomaterials in the environment: From materials to high-throughput screening to organisms. ACS Nano, United States, v. 5, n. 1, p. 13-20, 2011. DOI 10.1021/nn1034857.

TROUILLER, B. et al. Titanium dioxide nanoparticles induce DNA damage and genetic instability in vivo in mice. Cancer Research, USA, v. 69, n. 22, p. 8784-8789, 2009. DOI 10.1158/0008-5472.CAN-09-2496.

TUNÇSOY, M. Impacts of titanium dioxide nanoparticles on serum parameters and enzyme activities of Clarias gariepinus. Bulletin of Environmental Contamination and Toxicology, Turkey, v. 106, n. 4, p. 629-636, 2021. DOI 10.1007/s00128-020-03100-8.

URRUTIA-ORTEGA, I. M. et al. Food-grade titanium dioxide exposure exacerbates tumor formation in colitis associated cancer model. Food and Chemical Toxicology, Mexico, v. 93, p. 20-31, 2016. DOI 10.1016/j.fct.2016.04.014.

VELZEBOER, I. et al. Nanomaterials in the environment: Aquatic ecotoxicity tests of some nanomaterials. Environmental Toxicology and Chemistry, Bilthoven, v. 27, n. 9, p. 1942-1947, 2008. DOI 10.1897/07-509.1.

VIDYA, P. V.; CHITRA, K. C. Evaluation of genetic damage in Oreochromis mossambicus exposed to selected nanoparticles by using micronucleus and comet bioassays. Croatian Journal of Fisheries, India, v. 76, n. 3, p. 115-124, 2018. DOI 10.2478/cjf-2018-0015.

VIGNARDI, C. P. et al. Genotoxicity, potential cytotoxicity and cell uptake of titanium dioxide nanoparticles in the marine fish Trachinotus carolinus (Linnaeus, 1766). Aquatic Toxicology, São Paulo, v. 158, p. 218-229, 2015. DOI 10.1016/j.aquatox.2014.11.008.

WANG, Z.; LUO, Z.; YAN, Y. Dispersion and sedimentation of titanium dioxide nanoparticles in freshwater algae and daphnia aquatic culture media in the presence of arsenate. Journal of Experimental Nanoscience, China, v. 13, n. 1, p. 119-129, 2018. DOI 10.1080/17458080.2018.1449023.

WANI, M. R.; SHADAB, G. G. H. A. Titanium dioxide nanoparticle genotoxicity: A review of recent in vivo and in vitro studies. Toxicology and Industrial Health, India, v. 36, n. 7, p. 514-530, 2020. DOI 10.1177/0748233720936835.

WEIR, A. et al. Titanium dioxide nanoparticles in food and personal care products. Environmental Science & Technology, Arizona, v. 46, n. 4, p. 2242-2250, 2012. DOI 10.1021/es204168d.

WILSON, J. M.; LAURENT, P. Fish gill morphology: Inside out. Journal of Experimental Zoology, Portugal, v. 293, n. 3, p. 192-213, 2002. DOI 10.1002/jez.10124.

WOLF, J. C.; WHEELER, J. R. A critical review of histopathological findings associated with endocrine and non-endocrine hepatic toxicity in fish models. Aquatic Toxicology, USA, v. 197, p. 60-78, 2018. DOI 10.1016/j.aquatox.2018.01.013.

WOLF, J. C.; WOLFE, M. J. A brief overview of nonneoplastic hepatic toxicity in fish. Toxicologic Pathology, USA, v. 33, n. 1, p. 75-85, 2005. DOI 10.1080/01926230590890187

YANG, Y. et al. Characterization of food-grade titanium dioxide: The presence of nanosized particles. Environmental Science & Technology, Arizona, v. 48, n. 11, p. 6391-6400, 2014. DOI 10.1021/es500436x.

YIN, C. et al. TiO2 particles in seafood and surimi products: Attention should be paid to their exposure and uptake through foods. Chemosphere, China, v. 188, p. 541-547, 2017. DOI 10.1016/j.chemosphere.2017.08.168.

ZHU, X. et al. Trophic transfer of TiO(2) nanoparticles from Daphnia to zebrafish in a simplified freshwater food chain. Chemosphere, Tempe (AZ), v. 79, n. 9, p. 928-933, 2010. DOI 10.1016/j.chemosphere.2010.03.022.

ZHU, X. et al. Long-term exposure to titanium dioxide nanoparticles promotes diet-induced obesity through exacerbating intestinal mucus layer damage and microbiota dysbiosis. Nano Research, China, v. 14, n. 5 p. 1512-1522, 2020. DOI 10.1007/s12274-020-3210-1.

Authorship contributions

1 – Juliana Machado Kayser (Corresponding Author)

Graduated in Biomedicine, Master's Student in Toxicology and Toxicological Analysis

https://orcid.org/0000-0002-2784-628X • ju.kayser@hotmail.com

Contribution: Conceptualization, methodology, investigation, validation, writing – original draft, writing – review & editing

2 – Andriéli Carolina Schuster

Nutritionist, Master's student in Toxicology and Toxicological Analysis

https://orcid.org/0000-0003-3627-3812 • andrieli.schuster96@gmail.com

Contribution: conceptualization, methodology, investigation, validation, writing – review & editing

3 – Gabriela Zimmermann Prado Rodrigues

Professor in the Biomedicine and Veterinary Medicine courses, PhD in Environmental Quality

https://orcid.org/0000-0002-8580-6243 • gabizpr@gmail.com

Contribution: methodology, validation, data curation, writing – review & editing

4 – Fernando Dal Pont Morisso

Professor of Pharmacy and Chemical Engineering, PhD in Chemistry

https://orcid.org/0000-0002-9653-9857 • morisso@feevale.br

Contribution: methodology, supervision

5 – Günther Gehlen

Adjunct professor, PhD in Neurosciences

https://orcid.org/0000-0001-6308-4721 • guntherg@feevale.br

Contribution: methodology, supervision, project administration

How to quote this article

KAYSER, J.M.; et al. Titanium dioxide nanoparticles promote histopathological and genotoxic effects in Danio rerio after acute and chronic exposures. Ciência e Natura, Santa Maria, v. 44, e19, 2022. DOI: https://doi.org/10.5902/2179460X67963.